Grupo DSD
Estudios Diagnósticos

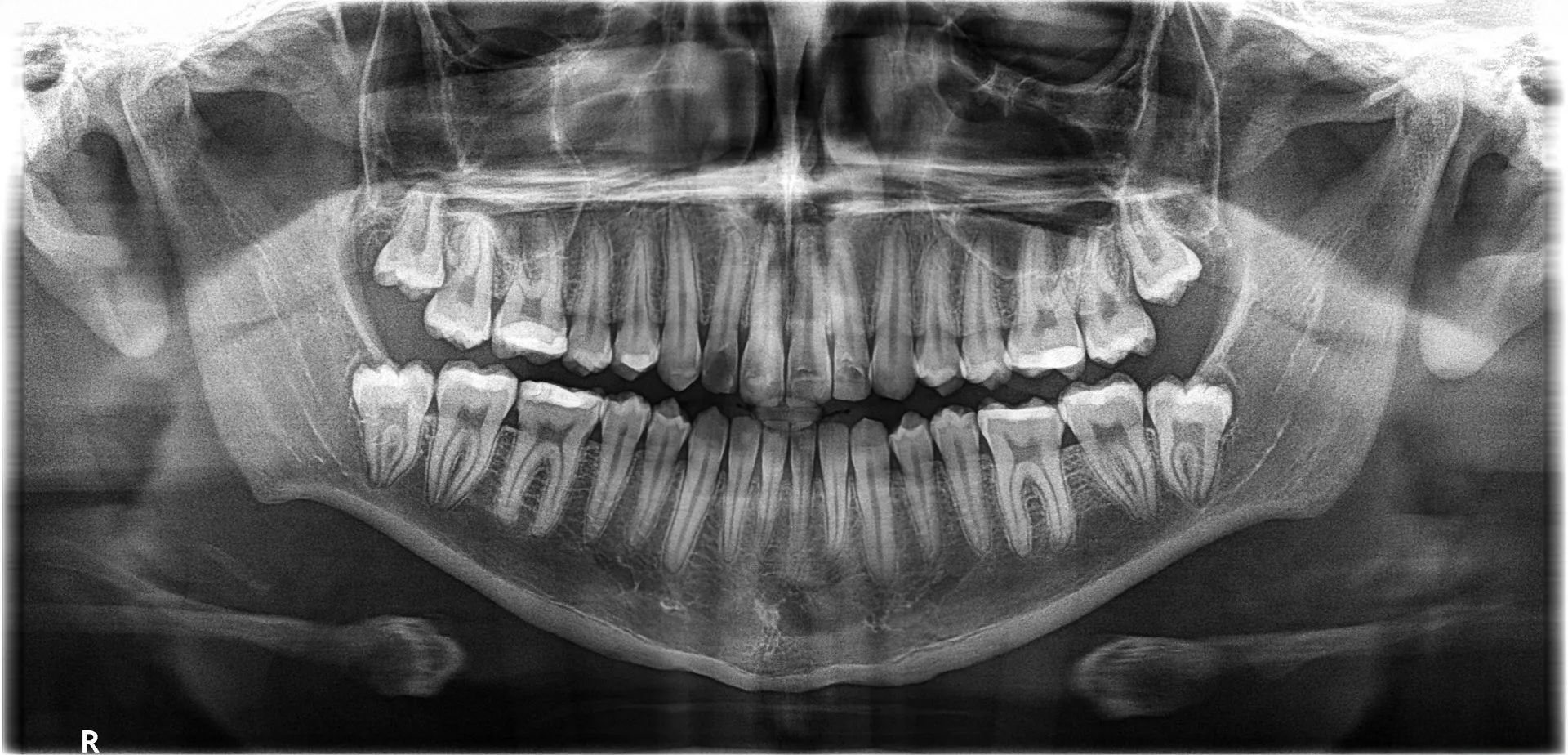
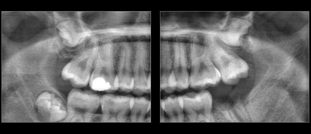
Uno de nuestros principales servicios es la adquisición de imágenes dentales 2D y 3D, fundamentales para un diagnóstico preciso y una planificación adecuada de tratamientos dentales.
Contamos con tecnología avanzada que nos permite obtener imágenes claras y detalladas de la boca y los tejidos circundantes, lo que es crucial para evaluar la salud dental y detectar posibles problemas.













